Gynaecology Ultrasound

Women have unique health issues, including pregnancy, menopause and painful conditions related to gynaecology concerns. From accurate imaging to our advanced tools, our gynaecology ultrasound solutions enable you to provide the urgent answers your patients need.

Gynaecology Ultrasound

Interview

Testimonials

Accurate Imaging

Esaote’s selection of probes for gynaecology provides high-quality images with outstanding contrast resolution, thus increasing clinical confidence in detecting abnormalities and pathologies in the female reproductive system, in both the transabdominal and transvaginal approaches. 

The latest micro-convex end-fire transducer, E 3-12, has been designed by the Esaote Probe Centre of Excellence in Florence, with a short convergence radius for maximum resolution, and high capabilities of penetration while preserving the comfort your patient deserves. 

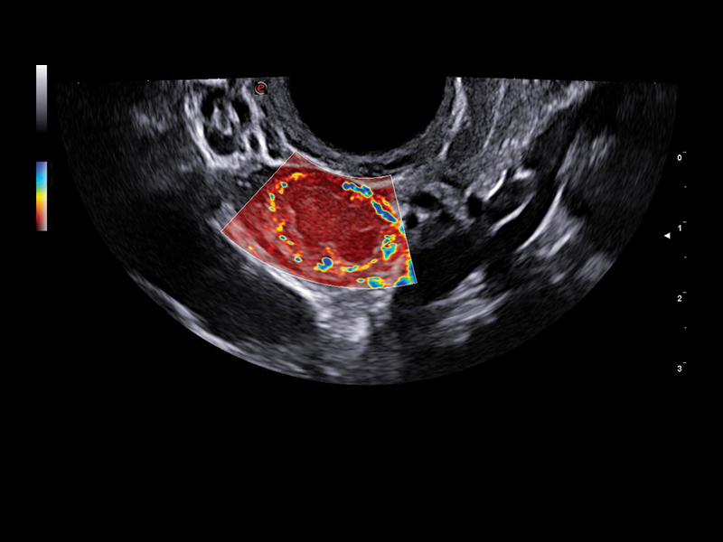
The improved vascular image quality together with the extreme sensitivity of Esaote Doppler technologies (Power Doppler and microV) allow the detection of tiny vessels, to precisely assess the extent of the vascularization, to provide you with a better understanding of certain pelvic abnormalities such as fibroids, polyps, or endometriosis conditions.

Accurate Imaging

Explorations of complex pelvis conditions

A standard examination very frequently highlights situations that need to be analyzed in greater detail. Esaote’s new volume rendering algorithm offers realistic three-dimensional reconstructions of the internal cavity of the uterus, within a few seconds, for evaluation of uterine shape and size. Thick Slice Imaging (TSI) 3D environment is particularly useful when the purpose is to highlight a well-defined and confined structure, such as the endometrium, allowing for a completely customizable concavity line. 

Virtual Navigator is the revolutionary Esaote technology for fusion imaging. Suitable applications for this methodology include deep infiltrating endometriosis (DIE), where the combination of magnetic resonance imaging (MRI) and transvaginal ultrasound (TVUS) considerably optimizes the detection of this pathology.

Explorations of complex pelvis conditions
Medically Assisted Procreation

Medically Assisted Procreation

Ultrasound plays a significant role in the field of medically assisted procreation (MAP) and reproductive medicine. Follicle monitoring is one critical aspect in fertility management. XVRA is the innovative Esaote tool that automatically calculates follicle volume, thus helping in the identification of the best oocytes to be collected, to increase the chance of pregnancy.
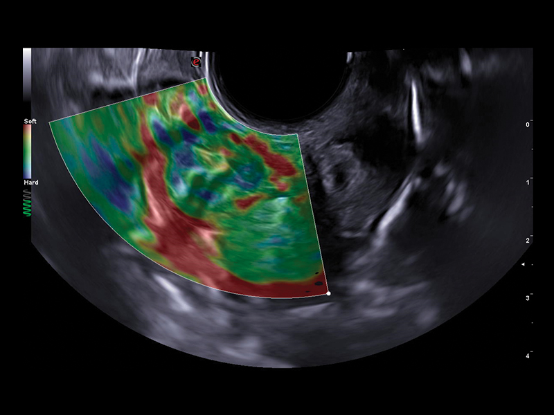
By associating various chromatic patterns, Esaote’s ElaXto strain technology offers real-time assessment of differing tissue response in terms of elasticity, to evaluate cervix elasticity for a proper embryo transfer.

Clinical Images

Gynaecology clinical image
Gynaecology clinical image
Gynaecology clinical image
Gynaecology clinical image
Gynaecology clinical image
Gynaecology clinical image
Gynaecology clinical image
Gynaecology clinical image
Gynaecology clinical image
Gynaecology clinical image
Gynaecology clinical image

Ultrasound systems for Gynaecology

Esaote MyLab™E80

MyLab™E80

Advanced ultrasound platform engineered to provide unparalleled expertise in examinations.

Esaote MyLab™A70

MyLab™A70

Advanced system designed to deliver advanced technologies with the simplest workflow.

Esaote MyLab™A50

MyLab™A50

Powerful system which delivers high performance in terms of image quality in all applications.

Technology and features are system/configuration dependent. Specifications subject to change without notice. Information might refer to products or modalities not yet approved in all countries. Product images are for illustrative purposes only.
For further details, please contact your Esaote sales representative.

Stay updated on Esaote's world

Don't miss the opportunity to stay updated on upcomings events, educational resources, and all latest from Esaote.

Login required to access this resource.
Go to login page