Musculoskeletal Ultrasound

Within the past decade, musculoskeletal ultrasound (US) has become an established imaging technique for the diagnosis and follow up of patients with musculoskeletal diseases.
Our musculoskeletal ultrasounds cover all the clinical needs (from diagnostic to interventional) specifically related to the study of physiology, morphology, and pathology of musculoskeletal systems.

Musculoskeletal Ultrasound

US is most commonly used in the assessment of soft tissue disease or for the detection of fluid collection, and can also be used to visualize other structures, such as cartilage and bone surfaces. Moreover, the real-time capability of US allows dynamic assessment of joints and tendon movements, which can often help to detect structural abnormalities.

Over the past years, huge improvements in image quality have been achieved, such as broadband transducer technology (up to 25 MHz), harmonic and compound imaging, improved focusing, beam steering, and Power Doppler imaging.

INTERVIEWS

Testimonials

Toward excellence in very Superficial Imaging

Toward excellence in very Superficial Imaging

Imaging plays a crucial role in musculoskeletal applications. A genuine technological breakthrough in very superficial explorations, the LMX 4-20, Esaote’s brand-new HD Single Crystal probe, which is operating up to 25 MHz, offers unprecedented clarity even in the smallest details without compromising the deeper areas. Applied to this high-density element per multi-layer matrix structure array, XCrystal Technology enables unparalleled sharp and clear imaging to achieve excellence in superficial ultrasound examinations, and becomes the Esaote gold standard in terms of linear probes.

Control and excellence at your fingertips

The use of our latest Very-High Frequency Hockey Stick probe, IHX 6-25, delivers outstanding spatial resolution while facilitating needle access to perform accurate interventional gestures with millimetric precision.

  • Frequency range: 6-25 MHz
No limits to the visualization of microvascularization

No limits to the visualization of microvascularization

Doppler technology, with high sensitivity, is essential in any inflammation process where it is crucial to analyse slow flows.
The extreme sensitivity of Esaote Power Doppler technology is designed for the detection of low flow in small and superficial vessels. This improved vascular image quality, provided by Esaote, has positive impacts on diagnosis and therapy planning. Moreover, Esaote pushes the limits of microvascularization imaging one step further, with the latest implementation of microV technology to detect the smallest flow, bringing precious clinical value in the early detection, diagnosis and follow-up of musculoskeletal injuries or lesions characterization. Thanks to BrightFlow Technology, 3D rendering can be applied to all colour modalities to enhance vessel visualization.

Advanced solutions for Musculoskeletal applications

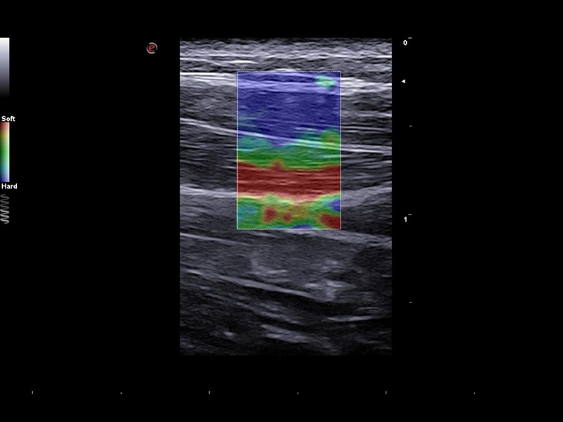
Advanced solutions for Musculoskeletal applications

Elastosonography is particularly important in musculoskeletal applications because it provides valuable information about the mechanical properties of soft tissues in the musculoskeletal system. The ability to assess tissue elasticity is crucial in the diagnosis, monitoring, and management of various musculoskeletal conditions. ElaXto is the Esaote real-time, non-invasive strain elastography tool that allows you to assess tissue stiffness at a glance, thanks to a colour-coded stiffness mapping. Instead, QElaXto 2D, shear-wave elastography, is an Esaote technology that provides an immediate quantitative value of tissue elasticity, which can be particularly interesting in the follow-up of tendon injuries.

Interventional Procedures

Interventional Procedures

Interventional procedures in musculoskeletal applications are used to diagnose and treat conditions affecting bones, joints, muscles, tendons, ligaments, and other related structures.
These procedures are often performed under ultrasound imaging guidance to increase accuracy and precision, such as in infiltrations where the brightness of the needle can be emphasized by using Esaote’s advanced Needle Enhancement tool. Virtual Navigator (VNav) is the Esaote technology for fusion imaging that enables US examiners to combine real-time ultrasound with datasets from second modalities to increase diagnostic accuracy and provide a more comprehensive understanding of a particular region of interest.
In MSK, fusion imaging between CT/MRI and US can be particularly valuable, for example for joint injections and biopsies.

Real-Time Educational Support

Real-Time Educational Support

Esaote MyLibrary offers several on-board MSK reference guides that help users perform examinations thanks to anatomical, ecographic, scanning , and textual descriptions of the most important MSK anatomical sites.
The Musculoskeletal Ultrasound App is your MSK portable reference guide, available in several languages, with 520 anatomical and pathological sections, useful tips & tricks for your ultrasound examination, probe positioning markers, and textual descriptions.

Wide probe portfolio

Wide probe portfolio

As a long-standing specialist in high-frequency probe manufacturing, Esaote offers a broad portfolio of transducers (from 3 to 25 MHz) to cover all clinical needs in superficial examinations, including linear, micro footprint and convex arrays.

LX 3-15, benefiting from XCrystal Technology, offers a perfect one-probe solution to scan all parts of the body, which makes it ideal  for people who search for one probe with excellent resolution not only for MSK application, but also in any kind of superficial scan.

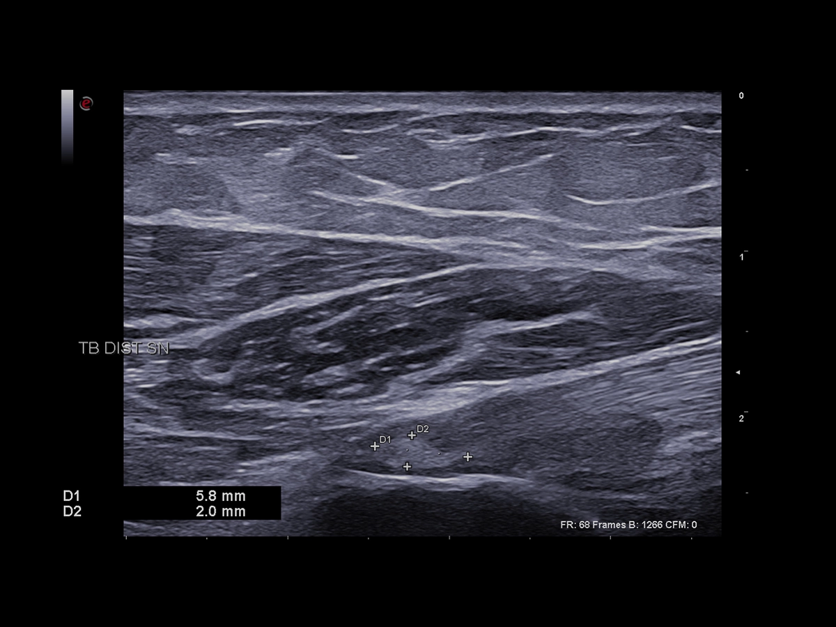
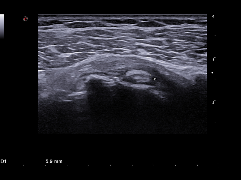
Clinical Images

Musculoskeletal Clinical Images
Musculoskeletal Clinical Images
Musculoskeletal Clinical Images
Musculoskeletal Clinical Images
Musculoskeletal Clinical Images

Ultrasound systems for Musculoskeletal

Esaote MyLab™X90

MyLab™X90

Premium system which embeds new technology of probes and an extended package of advanced tools powered by A.I.

Esaote MyLab™A70

MyLab™A70

Advanced system designed to deliver advanced technologies with the simplest workflow.

Esaote MyLab™C25

MyLab™C25

Truly compact ultrasound system with extreme flexibility, increased usability and cutting-edge aesthetics.

Technology and features are system/configuration dependent. Specifications subject to change without notice. Information might refer to products or modalities not yet approved in all countries. Product images are for illustrative purposes only.
For further details, please contact your Esaote sales representative.

Stay updated on Esaote's world

Don't miss the opportunity to stay updated on upcomings events, educational resources, and all latest from Esaote.

Login required to access this resource.
Go to login page