Rheumatology Ultrasound

Rheumatic diseases affect more than 5 million people of all ages (about 10% of the world’s population) and this number is expected to grow as the world’s population ages.
 

Our rheumatology ultrasound products cover all the diagnostic, follow-up, and interventional needs related to rheumatology and specifically the study of physiology, morphology, and pathology of the musculoskeletal system.

Rheumatology Ultrasound

Rheumatology ultrasound (US), non-invasive imaging technique, plays a significant role in the management of rheumatoid arthritis and most rheumatic diseases for both diagnostic and therapeutic purposes, allowing rheumatologists to visualize and assess joints, tendons, ligaments, and surrounding soft tissues in real time.
The combined use of B-Mode and Power Doppler can provide information on joint involvement, detect early erosion, follow the response to treatment, and detect remission or relapse.
As a pioneer in the development of High Frequency Linear probes, Esaote has been successfully supporting rheumatologists since 1995.

Testimonials

Tiniest Clinical Abnormalities revealed with Outstanding Versatility

B-Mode utilizing Very-High Frequency probes proves valuable in numerous rheumatic diseases, where exceptional resolution and the ability to visualize details play a pivotal role.

A genuine technological breakthrough in very superficial explorations, the LMX 4-20, Esaote’s brand-new HD Single Crystal probe, offers unprecedented clarity even in the smallest details without compromising the deeper areas. Applied to this high-density element per multi-layer matrix structure array, XCrystal Technology enables unparalleled sharp and clear imaging to achieve excellence in superficial ultrasound examinations and becomes the Esaote gold standard in terms of linear probes.

The use of our latest Very-High Frequency Hockey Stick probe, also operating up to 25MHz, delivers outstanding spatial resolution while facilitating needle access to perform accurate interventional gestures with millimetric precision.

  • Frequency range: 6-25 MHz

These arrays, enabling to operate up to 25 MHz, provide outstanding image quality for very superficial scans, such as fingers, elbows, and wrists and, for example, allow accurate evaluation of the hyaline cartilage of the metacarpal head.

Visualization and Quantification of Synovial Tissue

Visualization and Quantification of Synovial Tissue

Doppler technology, frequently employed in the assessment of inflammatory conditions, especially in the field of rheumatology, is a non-invasive imaging technique that measures blood flow and can be particularly informative in the context of synovial inflammation.
Esaote Power Doppler, achieving a very high level of sensitivity, and microV, which is a step ahead in the visualization of micro vascularization, deliver high quality Doppler information that the clinician can rely on, while QPack Esaote Technology enables a quantitative assessment of the inflammatory area.

Patient Follow-up

Patient Follow-up

Follow-up in rheumatology plays a pivotal role in the effective management of rheumatic diseases by monitoring disease progression and piloting the therapy. The Follow Up & Multimodality tool developed by Esaote allows a comparison between real-time US and a second ultrasound image or a second modality image.
This technology can be used together with the QPack one, as it is crucial for rheumatologists to assess and quantify how the level of flows change over time in the same target areas.

Interventional Procedures

Interventional procedures in rheumatology are used to diagnose and treat conditions affecting bones, joints, muscles, tendons, ligaments, and other related structures. These procedures are often performed under ultrasound imaging guidance to increase accuracy and precision, such as in infiltrations where the brightness of the needle can be emphasized by using Esaote’s advanced Needle Enhancement tool.

Interventional Procedures

Virtual Navigator (VNav) is the Esaote technology for fusion imaging that enables US examiners to combine real-time ultrasound with datasets from second modalities to increase diagnostic accuracy and provide a more comprehensive understanding of a particular region of interest.

In Rheumatology, fusion imaging between CT/MRI and US can be particularly valuable in interventional procedures to increase the clinician’s confidence level.

 

Real-Time Educational Support

Real-Time Educational Support

Esaote MyLibrary Rheumatology offers an on-board reference guide to facilitate the examination by providing anatomical, ecographic, scanning, and textual descriptions of the most important Rheumatology anatomical sites and can be used by rheumatology professionals for real-time educational support.

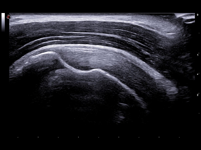
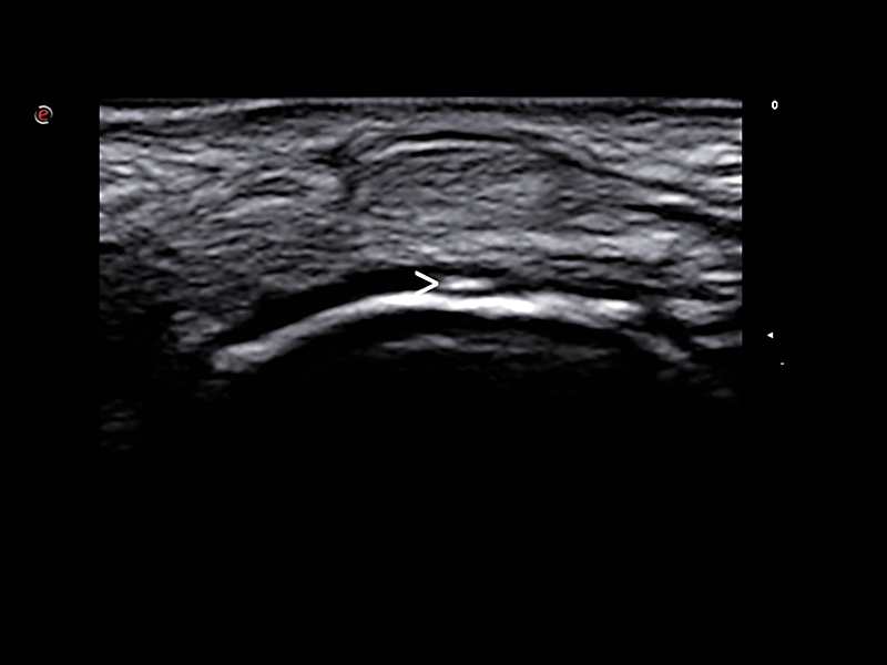
Clinical Images

Rheumatology clinical Images
Rheumatology clinical Images
Rheumatology clinical Images
Rheumatology clinical Images

Ultrasound systems for Rheumatology

Esaote MyLab™X90

MyLab™X90

Premium system which embeds new technology of probes and an extended package of advanced tools powered by A.I.

Esaote MyLab™A70

MyLab™A70

Advanced system designed to deliver advanced technologies with the simplest workflow.

Esaote MyLab™C25

MyLab™C25

Truly compact ultrasound system with extreme flexibility, increased usability and cutting-edge aesthetics.

Technology and features are system/configuration dependent. Specifications subject to change without notice. Information might refer to products or modalities not yet approved in all countries. Product images are for illustrative purposes only.
For further details, please contact your Esaote sales representative.

Stay updated on Esaote's world

Don't miss the opportunity to stay updated on upcomings events, educational resources, and all latest from Esaote.

Login required to access this resource.
Go to login page