MRI e‑SPADES

e‑SPADES

Esaote introduces Artificial Intelligence into its MRI systems as a fully integrated and customized solution. The new technological platform, e‑SPADES, consisting of advanced HW and sophisticated SW algorithms such as HyperClarity delivers unparalleled image quality.

e‑SPADES

HyperClarity

Step into a new era for Esaote systems with HyperClarity, powered by SwiftMR™, a trademark of AIRS Medical Inc. This advanced integrated feature significantly enhances image quality by improving resolution, reducing noise, and providing physicians with a powerful tool for more consistent clinical outcomes.

e‑SPADES

Your ace for diagnostic excellence

Dr. Francesco Arrigoni Radiologist, U.O.S.D Dea Del P.O. San Salvatore, L’aquila, Italy, remarked during the last ECR: “e‑SPADES technology includes different software based on deep learning technology. These tools work at different points along the workflow for the production of the imaging. HyperClarity makes images clearer and of higher quality, allowing for immediately recorded diagnoses avoiding repetition of examination”.

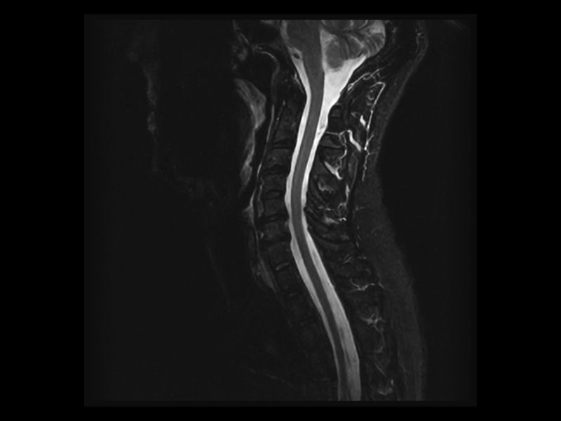
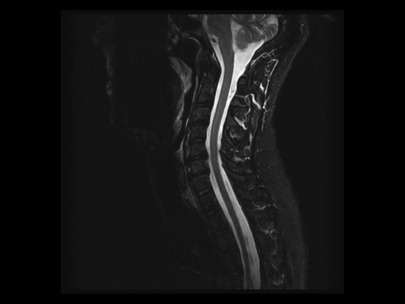
Clinical Images

Stay updated on Esaote's world

Don't miss the opportunity to stay updated on upcomings events, educational resources, and all latest from Esaote.

Login required to access this resource.
Go to login page