Magnetic resonance high-res clinical images
Esaote medical diagnostic MRI systems produce images. These high-res clinical images either provide physicians with imaging outcomes with a very high diagnostic added value, and enhance diagnosis accuracy and efficacy, thereby improving patients' care, condition and quality of life. Thanks to a combination of dedicated MSK sequences, advanced RF coils and patented computing technology, Esaote MRI systems deliver high quality images in line with today’s throughput constraints.
Esaote's strong commitment in introducing innovative features and sophisticated technologies in MRI diagnostic systems further than simply making what is essential visible to the eye, enhance diagnostic capabilities and patient’s care, contributing to build a healthier future for everyone.
Filter by anatomical
Filter by product
O-scan - Wrist XBONE Sagittal
O-scan - Wrist XBONE Sagittal
O-scan - Wrist Spin Echo T1 Axial
O-scan - Wrist Spin Echo T1 Axial
O-scan - Knee XBONE Sagittal
O-scan - Knee XBONE Sagittal
O-scan - Knee PD sagittal
O-scan - Knee PD sagittal
O-scan - Knee PD coronal
O-scan - Knee PD coronal
O-scan - Knee FSTIR coronal
O-scan - Knee FSTIR coronal
O-scan - Knee FSE T2 Sagittal
O-scan - Knee FSE T2 Sagittal
O-scan - Knee 3D SHARC Axial
O-scan - Knee 3D SHARC Axial
O-scan - Hand SE T1 coronal
O-scan - Hand SE T1 coronal
O-scan - Foot XBONE T1 coronal
O-scan - Foot XBONE T1 coronal
O-scan - Foot Spin Echo T1 Axial
O-scan - Foot Spin Echo T1 Axial
O-scan - Elbow GE T1 coronal
O-scan - Elbow GE T1 coronal
O-scan - Elbow FSE T2 axial
O-scan - Elbow FSE T2 axial
O-scan - Elbow 3D SHARC Coronal
O-scan - Elbow 3D SHARC Coronal
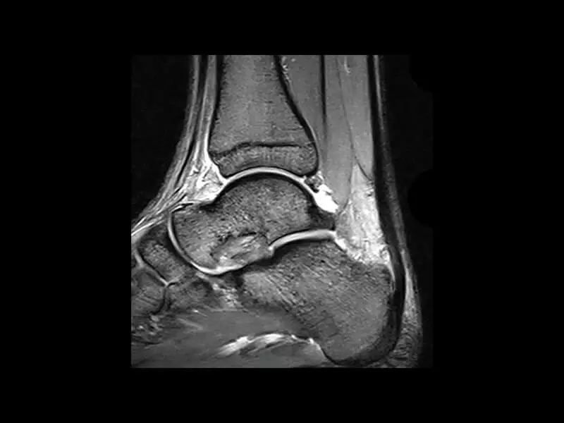
O-scan - Ankle XBONE sagittal
O-scan - Ankle XBONE sagittal
O-scan - Ankle STIR Sagittal
O-scan - Ankle STIR Sagittal
O-scan - Ankle GE T2 Coronal
O-scan - Ankle GE T2 Coronal
O-scan - 3D SHARC Isotropic
O-scan - 3D SHARC Isotropic
S-scan - TMJ 3D SHARC sagittal
S-scan - TMJ 3D SHARC sagittal
S-scan - T2 sag L spine
S-scan - T2 sag L spine
S-scan - SPED cor knee
S-scan - SPED cor knee
S-scan - SE T1 sag ankle
S-scan - SE T1 sag ankle
S-scan - GE T1 Wrist
S-scan - GE T1 Wrist
G-scan - Wrist 3D SST1 Sagittal
G-scan - Wrist 3D SST1 Sagittal
G-scan - C-spine Axial 3DHyce
G-scan - C-spine Axial 3DHyce
G-scan - C-spine Axial 3DHyce
G-scan - C-spine Axial 3DHyce
G-scan - TMJ FSE PD Sagittal
G-scan - TMJ FSE PD Sagittal
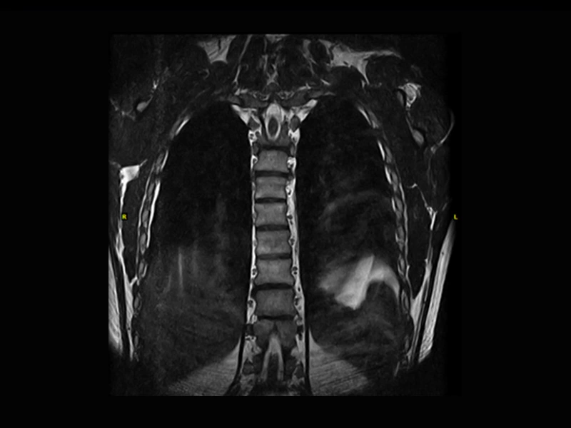
G-scan - T spine FSE T2 Sagittal
G-scan - T spine FSE T2 Sagittal
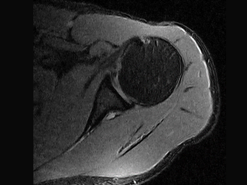
G-scan - Shoulder SPED Coronal
G-scan - Shoulder SPED Coronal
G-scan - Shoulder GE T2 Axial
G-scan - Shoulder GE T2 Axial
G-scan - L spine SE T1 Sagittal
G-scan - L spine SE T1 Sagittal
G-scan - L spine FSE T2 Sagittal
G-scan - L spine FSE T2 Sagittal
G-scan - L spine FSE T2 Axial
G-scan - L spine FSE T2 Axial
G-scan - L spine 3D HYCE Coronal
G-scan - L spine 3D HYCE Coronal
G-scan - Knee SPED Coronal
G-scan - Knee SPED Coronal
G-scan - Knee FSE T2 Axial
G-scan - Knee FSE T2 Axial
G-scan - Hip XBONE Coronal
G-scan - Hip XBONE Coronal
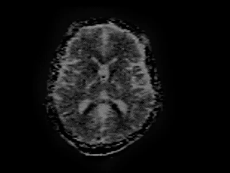
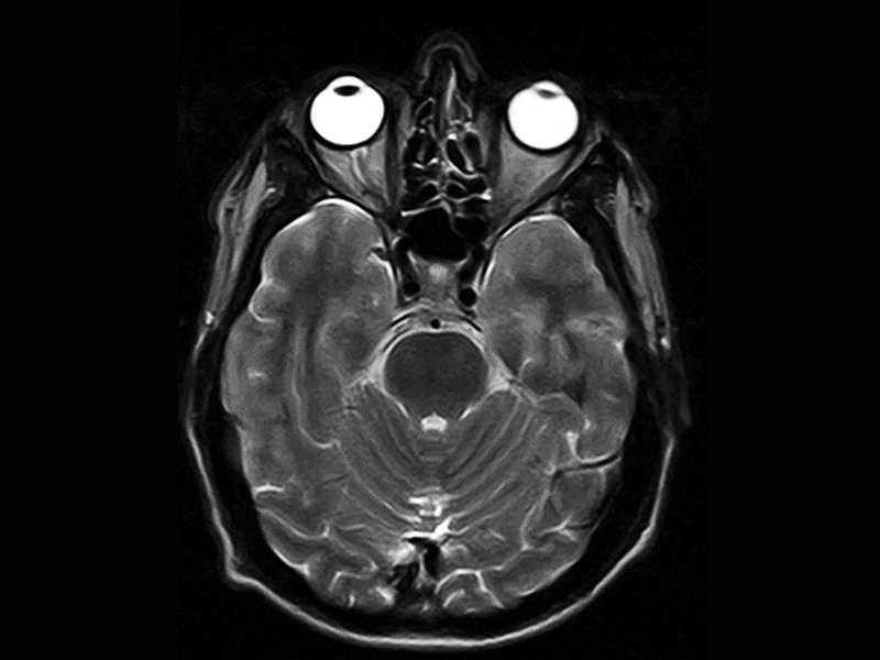
G-scan - Head FSE T2 Axial
G-scan - Head FSE T2 Axial
G-scan - Foot GE T1 Coronal
G-scan - Foot GE T1 Coronal
G-scan - Cervical spine SE T1 Sagittal
G-scan - Cervical spine SE T1 Sagittal
G-scan - Cervical spine 3D HYCE Axial
G-scan - Cervical spine 3D HYCE Axial
G-scan - Ankle SPED Sagittal
G-scan - Ankle SPED Sagittal
S-scan - eXP Ankle
S-scan - eXP Ankle
S-scan - eXP Cervical
S-scan - eXP Cervical
Magnifico™Open - Ankle FSE T2 axial
Magnifico™Open - Ankle FSE T2 axial
Magnifico™Open - Ankle FSE T2 Coronal
Magnifico™Open - Ankle FSE T2 Coronal
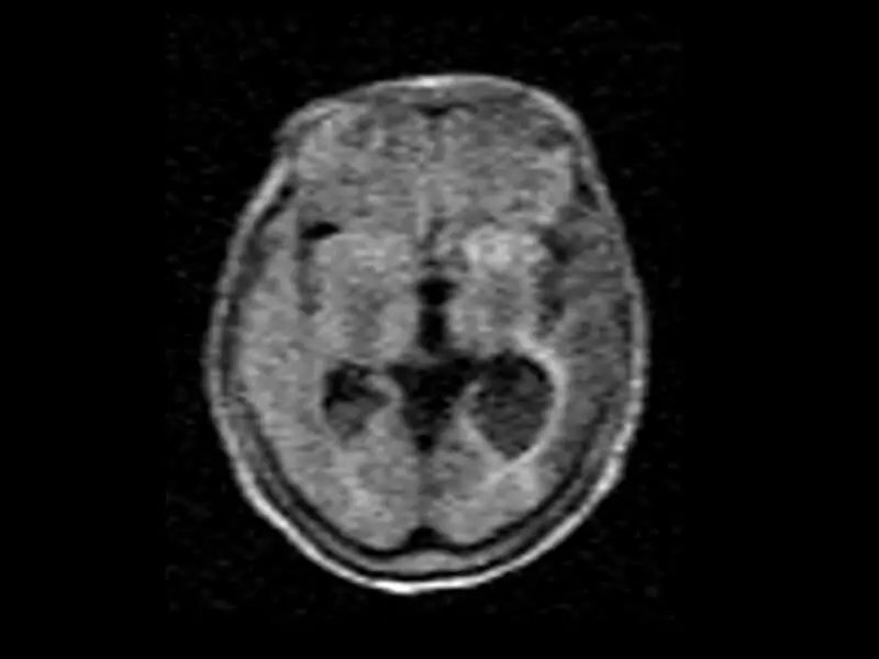
Magnifico™Open - Brain FLAIR axial
Magnifico™Open - Brain FLAIR axial
Magnifico™Open - Ankle SE T1 sagittal
Magnifico™Open - Ankle SE T1 sagittal
Magnifico™Open - Ankle SPED sagittal
Magnifico™Open - Ankle SPED sagittal
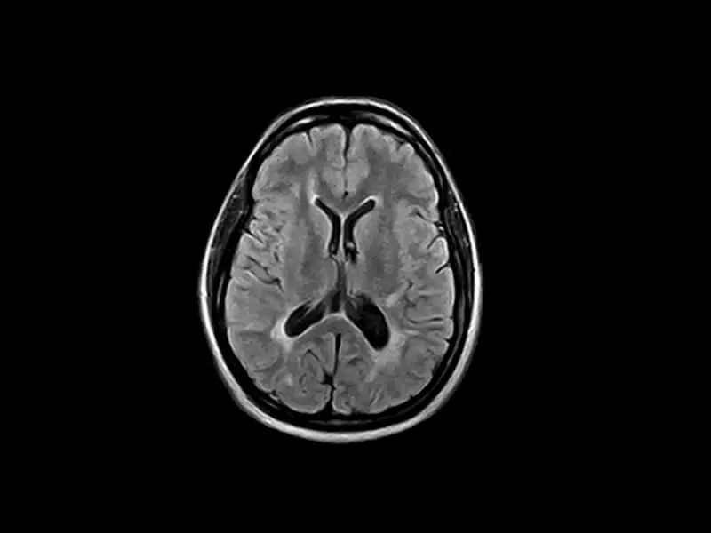
Magnifico™Open - Brain FSE T2 axial
Magnifico™Open - Brain FSE T2 axial
Magnifico™Open - Wrist 3D SHARC Coronal
Magnifico™Open - Wrist 3D SHARC Coronal
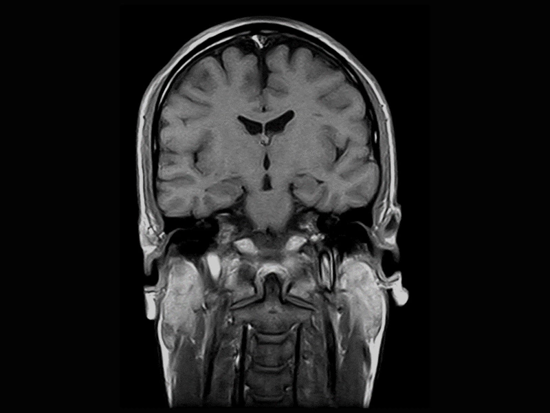
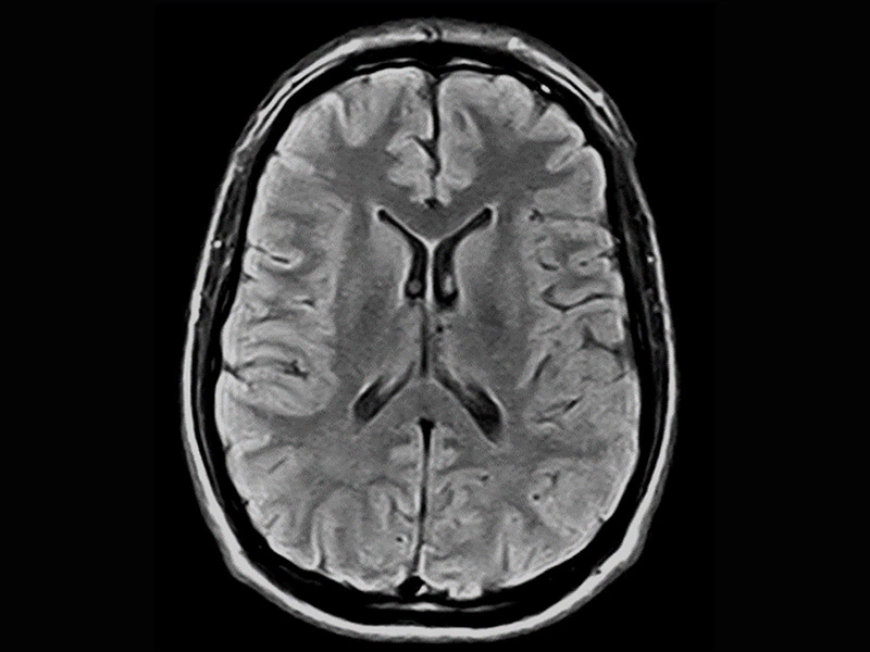
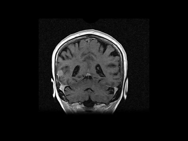
Magnifico™Open - Brain SE T1 coronal
Magnifico™Open - Brain SE T1 coronal
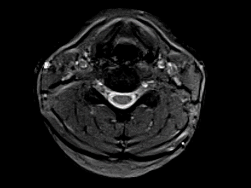
Magnifico™Open - Cspine GE T2 axial
Magnifico™Open - Cspine GE T2 axial
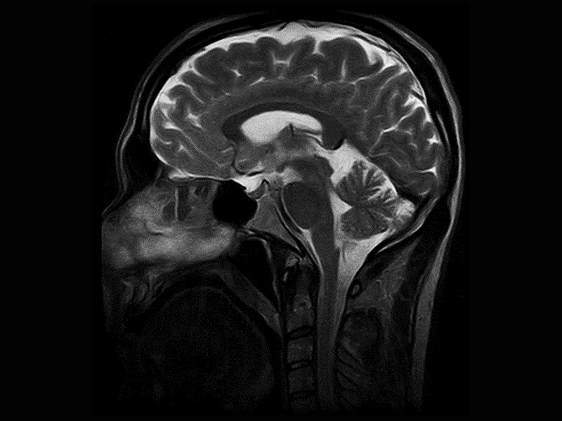
Magnifico™Open - Brain SET2 sagittal
Magnifico™Open - Brain SET2 sagittal
Magnifico™Open - Cspine-3DHyce
Magnifico™Open - Cspine-3DHyce
Magnifico™Open - Cspine FSE T2 sagittal
Magnifico™Open - Cspine FSE T2 sagittal
Magnifico™Open - Cspine SET1 sagittal
Magnifico™Open - Cspine SET1 sagittal
Magnifico™Open - Tspine SE T1 axial
Magnifico™Open - Tspine SE T1 axial
Magnifico™Open - Tspine 3DHYCE coronal
Magnifico™Open - Tspine 3DHYCE coronal
Magnifico™Open - Tspine SE T1 sagittal
Magnifico™Open - Tspine SE T1 sagittal
Magnifico™Open - Tspine FSE T2 sagittal
Magnifico™Open - Tspine FSE T2 sagittal
Magnifico™Open - Elbow SE T1 coronal
Magnifico™Open - Elbow SE T1 coronal
Magnifico™Open - Elbow GE T2 sagittal
Magnifico™Open - Elbow GE T2 sagittal
Magnifico™Open - Elbow SPED axial
Magnifico™Open - Elbow SPED axial
Magnifico™Open - Hip SE T1 axial
Magnifico™Open - Hip SE T1 axial
Magnifico™Open - Hip FSE T2 axial
Magnifico™Open - Hip FSE T2 axial
Magnifico™Open - Hip SPED axial
Magnifico™Open - Hip SPED axial
Magnifico™Open - Knee FSE PD sagittal
Magnifico™Open - Knee FSE PD sagittal
Magnifico™Open - Knee F STIR sagittal
Magnifico™Open - Knee F STIR sagittal
Magnifico™Open - Knee SPED axial
Magnifico™Open - Knee SPED axial
Magnifico™Open - Knee SPED coronal
Magnifico™Open - Knee SPED coronal
Magnifico™Open - Lspine 3D HYCE axial
Magnifico™Open - Lspine 3D HYCE axial
Magnifico™Open - Lspine SE T1 axial
Magnifico™Open - Lspine SE T1 axial
Magnifico™Open - Lspine SE T2 axial
Magnifico™Open - Lspine SE T2 axial
Magnifico™Open - Shoulder FSE T2 axial
Magnifico™Open - Shoulder FSE T2 axial
Magnifico™Open - Shoulder F STIR coronal
Magnifico™Open - Shoulder F STIR coronal
Magnifico™Open - Shoulder GE T2*
Magnifico™Open - Shoulder GE T2*
Magnifico™Open - Shoulder SE T1 coronal
Magnifico™Open - Shoulder SE T1 coronal
Magnifico™Open - Shoulder SPED axial
Magnifico™Open - Shoulder SPED axial
Magnifico™Open - Wrist FSE T2 axial
Magnifico™Open - Wrist FSE T2 axial
Magnifico™Open - Wrist FSE T2 coronal
Magnifico™Open - Wrist FSE T2 coronal
Magnifico™Open - Wrist Sped coronal
Magnifico™Open - Wrist Sped coronal
Magnifico™Open - 2D TOF Carotid frontal
Magnifico™Open - 2D TOF Carotid frontal
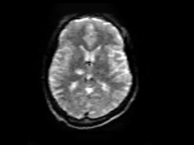
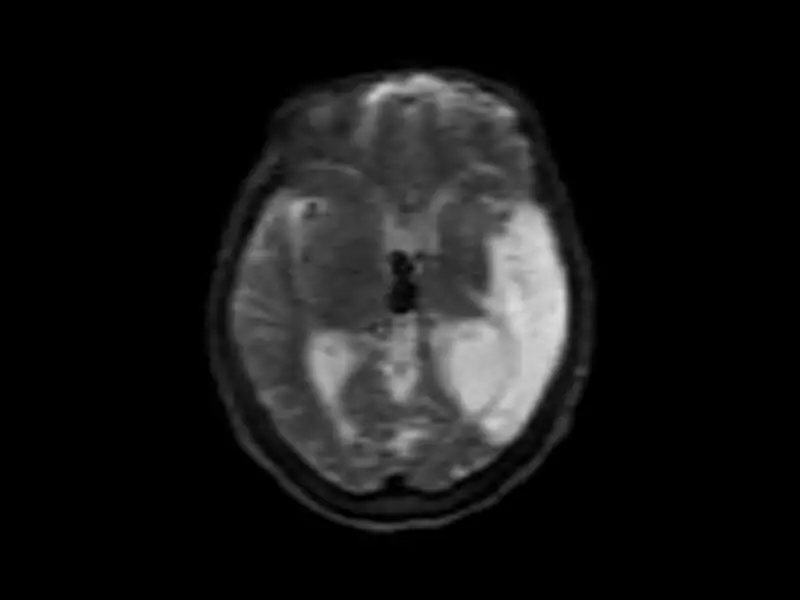
Magnifico™Open - DWI 1
Magnifico™Open - DWI 1
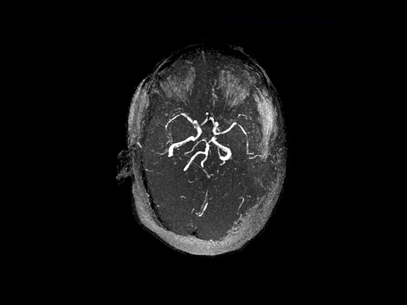
Magnifico™Open - 3D MIP
Magnifico™Open - 3D MIP
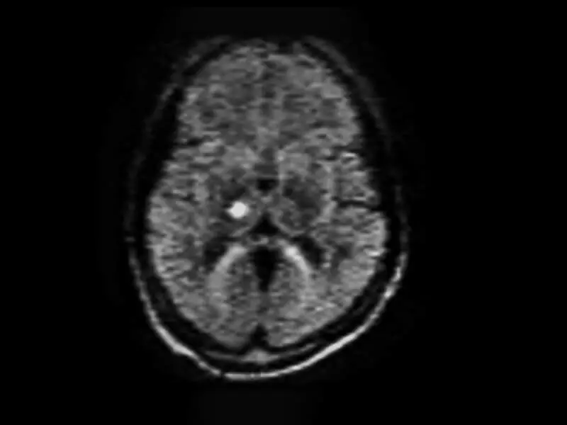
Magnifico™Open - ADC
Magnifico™Open - ADC
Magnifico™Open - B Value 20
Magnifico™Open - B Value 20
Magnifico™Open - B value 760
Magnifico™Open - B value 760
Magnifico™Open - DWI 2
Magnifico™Open - DWI 2
Magnifico™Open - DWI 3
Magnifico™Open - DWI 3
Magnifico™Open - TOF
Magnifico™Open - TOF
Magnifico™Open - Spine 1
Magnifico™Open - Spine 1
Magnifico™Open - Spine 2
Magnifico™Open - Spine 2
S-scan - 3D HYCE Lspine
S-scan - 3D HYCE Lspine
S-scan - 3D SHARC Arto Coronal Shoulder
S-scan - 3D SHARC Arto Coronal Shoulder
S-scan - 3D SHARC Coronal Wrist
S-scan - 3D SHARC Coronal Wrist
S-scan - 3D SHARC Sagittal Knee
S-scan - 3D SHARC Sagittal Knee
S-scan - 3D SST1 Coronal Head
S-scan - 3D SST1 Coronal Head
S-scan - Ankle eXP 120 resolution 0.56x0.78
S-scan - Ankle eXP 120 resolution 0.56x0.78
S-scan - Ankle eXP 150 resolution 0.43x0.625
S-scan - Ankle eXP 150 resolution 0.43x0.625
S-scan - 3D Hyce Axial Cervical
S-scan - 3D Hyce Axial Cervical
S-scan - Cervical Spine Echo Sagittal No exp 4.26
S-scan - Cervical Spine Echo Sagittal No exp 4.26
S-scan - FSE T2 Sagittal Cervical
S-scan - FSE T2 Sagittal Cervical
S-scan - Cervical Spine Echo Sagittal Exp
S-scan - Cervical Spine Echo Sagittal Exp
S-scan - SPED Fat Suppression Sagittal Elbow
S-scan - SPED Fat Suppression Sagittal Elbow
S-scan - FLAIR Axial Head
S-scan - FLAIR Axial Head
S-scan - XBONE Coronal Foot