MyLab™X6 cart based ultrasound system with 21.5” HD IPS technology LED monitor
Ultrasound
MyLab™X6

Cart-based ultrasound: flexibility and ease of use

MyLab™X6 makes your workflow so efficient and smooth, it does not only increase productivity, but it also empowers your clinical performances. Take advantage of the 21.5” HD IPS technology LED monitor to get outstanding image quality and an unparalleled degree of details from your scans. Fast response and easy interface usage also adapt flawlessly to all of your clinical needs, giving your assessments comfort and flexibility.

Beyond flexibility

FAST AND EASY WITH TAILORED CONFIGURATION

ZERO-CLICK AUTOMATION

21.5” LCD WIDESCREEN MONITOR

LARGE PROBE PORTFOLIO

Technologies

The long-term experience in Ultrasound R&D has enabled us to expand technological potential and explore unexplored horizons: the result is pure innovation.

MyLab™X6 large probe portfolio
STATE-OF-THE-ART IMAGING

Large probe portfolio

The design, material, and manufacturing technology of transducers are the main determinants of an ultrasound system’s image quality. Thanks to the innovation of gold standard ultrasound transducers, iQProbes offer state-of-the-art imaging.

  • Active matrix composite material
  • Single Crystal
  • Multiple adaptive layers
  • Bi-con geometric lens
  • Appleprobe design
  • Extensive use of applications with extended wideband convex, linear, phased array, volumetric, intraoperative and special transducer shapes
MyLab™X6 ultrasound system console
FOR EVERY APPLICATIONS

Tailored to every clinical need

The convex and endocavity probes provide excellent image quality for women’s health applications. The 3D convex probe can also be used for standard examinations.

MyLab™X6 is equipped with comprehensive cardiac and vascular configurations. It is a complete system for any cardiovascular ultrasound exam featuring customizable measurements and reporting.

MyLab™X6 covers all clinical needs, from abdominal to endocrinological applications, to establish a diagnosis and provide the best possible therapy and follow-up.

Clinical images

General Imaging Cardiovascular Women's Health
MyLab™X6 - ElaXto
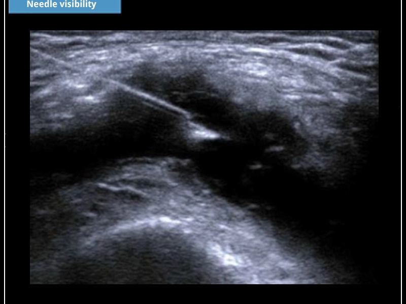
MyLab™X6 - Needle Visibility

AC2541 probe - Type: Convex & Microconvex - Applications: Abdominal, Obstetric, Gynecology, HIP (MSK), Deep Vascular
AC2541
L 4-15 probe - Type: Linear - Applications: MSK, Thyroid, Small Parts, Breast, Rheuma
L 4-15
L 3-11 probe - Type: Linear - Applications: Vascular, Small Parts
L 3-11
IH 6-18 probe - Type: Linear - Applications: MSK, Small Parts, Pediatrics, Rheuma, Vascular
IH 6-18
TLC 3-13 probe - Type: Endocavitary - Applications: Urology
TLC 3-13
SB2C41 probe - Type: Volumetric - Applications: Obstetric
SB2C41
LA 435 probe - Type: Linear - Applications: MSK, Small Parts, Pediatrics, Rheuma
LA 435
SL2325 probe - Type: Linear - Applications: MSK, Thyroid, Small Parts, Breast, Rheuma
SL2325
SL3116 probe - Type: Linear - Applications: MSK, Dermatology, Rheuma
SL3116
SE3133 probe - Type: Endocavitary - Applications: Gynecology, Obstetric, Urology
SE3133
SB3123 probe - Type: Volumetric - Applications: Gynecology, Obstetric
SB3123
P 1-5 probe - Type: Phased Array - Applications: Cardiac, Transcranial
P 1-5
P2 5-13 probe - Type: Phased Array - Applications: Cardiac, Pediatrics, Vascular
P2 5-13
IL 4-13 probe - Type: Interventional & Pencils - Applications: Surgery
IL 4-13
LP 4-13 probe - Type: Interventional & Pencils - Applications: Surgery
LP 4-13
IOT342 probe - Type: Interventional & Pencils - Applications: Surgery
IOT342
AC2541 probe - Type: Convex & Microconvex - Applications: Abdominal, Obstetric, Gynecology, HIP (MSK), Deep Vascular
AC2541

Type: Convex & Microconvex

Applications: Abdominal, Obstetric, Gynecology, HIP (MSK), Deep Vascular

L 4-15 probe - Type: Linear - Applications: MSK, Thyroid, Small Parts, Breast, Rheuma
L 4-15

Type: Linear

Applications: MSK, Thyroid, Small Parts, Breast, Rheuma

L 3-11 probe - Type: Linear - Applications: Vascular, Small Parts
L 3-11

Type: Linear

Applications: Vascular, Small Parts

IH 6-18 probe - Type: Linear - Applications: MSK, Small Parts, Pediatrics, Rheuma, Vascular
IH 6-18

Type: Linear

Applications: MSK, Small Parts, Pediatrics, Rheuma, Vascular

TLC 3-13 probe - Type: Endocavitary - Applications: Urology
TLC 3-13

Type: Endocavitary

Applications: Urology

SB2C41 probe - Type: Volumetric - Applications: Obstetric
SB2C41

Type: Volumetric

Applications: Obstetric

LA 435 probe - Type: Linear - Applications: MSK, Small Parts, Pediatrics, Rheuma
LA 435

Type: Linear

Applications: MSK, Small Parts, Pediatrics, Rheuma

SL2325 probe - Type: Linear - Applications: MSK, Thyroid, Small Parts, Breast, Rheuma
SL2325

Type: Linear

Applications: MSK, Thyroid, Small Parts, Breast, Rheuma

SL3116 probe - Type: Linear - Applications: MSK, Dermatology, Rheuma
SL3116

Type: Linear

Applications: MSK, Dermatology, Rheuma

SE3133 probe - Type: Endocavitary - Applications: Gynecology, Obstetric, Urology
SE3133

Type: Endocavitary

Applications: Gynecology, Obstetric, Urology

SB3123 probe - Type: Volumetric - Applications: Gynecology, Obstetric
SB3123

Type: Volumetric

Applications: Gynecology, Obstetric

P 1-5 probe - Type: Phased Array - Applications: Cardiac, Transcranial
P 1-5

Type: Phased Array

Applications: Cardiac, Transcranial

P2 5-13 probe - Type: Phased Array - Applications: Cardiac, Pediatrics, Vascular
P2 5-13

Type: Phased Array

Applications: Cardiac, Pediatrics, Vascular

IL 4-13 probe - Type: Interventional & Pencils - Applications: Surgery
IL 4-13

Type: Interventional & Pencils

Applications: Surgery

LP 4-13 probe - Type: Interventional & Pencils - Applications: Surgery
LP 4-13

Type: Interventional & Pencils

Applications: Surgery

IOT342 probe - Type: Interventional & Pencils - Applications: Surgery
IOT342

Type: Interventional & Pencils

Applications: Surgery

Customer service

Esaote remote technical support

REMOTE TECHNICAL SUPPORT

We offer remote assistance, console control sharing, and remote training, to quickly and effectively meet any request.

Esaote probe coverage

PROBE COVERAGE

We provide coverage for all standard probes with no annual limits.

Product details

DOCUMENTATION - BROCHURE / DICOM / IHE

Technical Specifications

Manual - EIFU

DOCUMENTATION - BROCHURE / DICOM / IHE

Technical Specifications

Manual - EIFU

MyLab is a trademark of Esaote SpA. Technology and features are device/configuration-dependent. Specifications subject to change without notice. Information might refer to products or modalities not yet approved in all countries. Product images are for illustrative purposes only. For further details, please contact your Esaote sales representative.

Related Systems

Contact direct sales network or distributor


Do you want to receive a quote? Contact us and you will be redirected to the best solution.

Stay updated on Esaote's world

Don't miss the opportunity to stay updated on upcomings events, educational resources, and all latest from Esaote.

Login required to access this resource.
Go to login page