Ultrasound clinical solutions for Breast

Esaote, a leader in the world of medical imaging, has consistently placed women's health at the forefront of its innovations. With a pioneering spirit that has defined its journey, Esaote has made significant strides in breast ultrasound imaging, a critical aspect of women's healthcare.

Breast Ultrasound Imaging

Recognizing that early diagnosis is a key element in the fight against breast cancer, Esaote is at the cutting-edge of the development of new technologies that empower healthcare providers with the tools they need to detect breast abnormalities at the earliest stages, thus improving the chances of successful treatment and recovery.

Constantly searching for innovative solutions, Esaote is very active in the breast imaging field and provides a complete package of advanced breast ultrasound technologies to support the clinicians from lesions Detection to their Characterization, Monitoring and Follow-up.

INTERVIEW

Testimonials

Excellence in breast ultrasound examinations

Excellence in breast imaging

Performing breast imaging properly is the key to providing the best possible treatment. The Esaote-developed XCrystal technology dramatically increases sensitivity and penetration, to provide an unparalleled level of detail imaging, from the ultra-near-field to deeper areas. Applied to these high-density elements according to a multi-layer matrix structure array, the new Esaote LMX 4-20 transducer technology enables unparalleled sharp and clear imaging to achieve excellence in breast ultrasound examinations.
 

Lesion characterization

Constantly searching for innovative solutions, Esaote’s value proposition for Breast Ultrasound is very broad and is constantly growing.
microV is Esaote’s new Doppler technology with an astonishing degree of sensitivity, even in very small vessels and slow flow detection; ElaXto, strain elastography, for real-time assessment of the relative stiffness of breast tissues; QElaXto 2D, 2D shearwave elastography, for mapping and quantification of tissue stiffness; and microE an algorithm for the enhancement of hyperechoic structures. 

A.I.-based technologies for automatic lesion characterization
A.I.-based technologies for automatic lesion characterization

A.I.-based technologies for automatic lesion characterization

Driven by Artificial Intelligence, Esaote’s solutions in breast ultrasound imaging open new horizons in early detection and help to provide reliable evaluation of suspect areas.
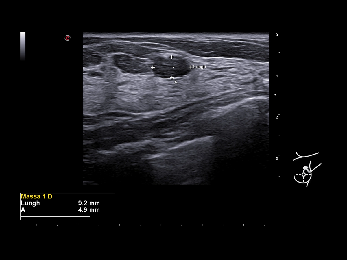
Breast Mass Analyzer (BMA), powered by A.I., is a machine learning model based on radiomics to predict the BI-RADS® category of ultrasound-detected suspicious breast lesions, support medical decision-making and reduce unnecessary biopsies. The A.I.-based eDetect algorithm provides automatic contouring of breast lesions and automatic measurements (P & A) of suspect areas. It also provides automatic cross-distance measurements of the lesions.

Second-look & Follow up

BreastNav™ & BreastNav™ MRI offer the full breast package for a multimodality approach in one of the most mobile and variable organs in the human body, giving real-time feedback on the scanned area for easy follow-up on a specific target.
BreastNav™ is an advanced technology based on adaptive 3D modeling, which enables quick, easy and effective follow-up of breast lesions, clip insertion, injury, or to provide an indication to the surgeon with regard to location.
BreastNav™ MRI is a unique feature in the market, which can perform real-time fusion imaging on the breast between the prone MRI and supine US datasets, based on 3D-model adaptive A.I. technology, aimed at supporting second-look examinations.

BreastNav™ & BreastNav™ MRI, Second-look & Follow up
Comprehensive BI-RADS® Report

Comprehensive BI-RADS® Report

All Esaote systems include a complete, dedicated report template, produced according to the BI-RADS® scoring/guidelines, with lesion description, main characteristics, and a graphic representation (body map) of their positions.
The optimized workflow guarantees easy and fast computation through the touchscreen or the worksheet page.
 

BI-RADS® incorporates the Breast Imaging Reporting and Data System ATLAS of the American College of Radiology, Copyright 1992, 1993, 1995, 1998, 2003, and 2013. The developer of this product is independently owned and operated, and is not an affiliate of the American College of Radiology. The American College of Radiology is not responsible for the contents or operation of this product or its associated software, and expressly disclaims any and all warranties and liabilities, expressed or implied, in connection therewith. BMA is powered by Deep Trace Technology. BMA embeds the TRACE4© software by Deep Trace Technologies. BreastNav™ and BreastNav™ MRI are powered by Medcom GmBH.

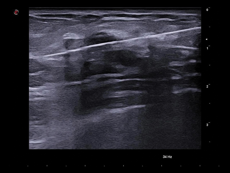
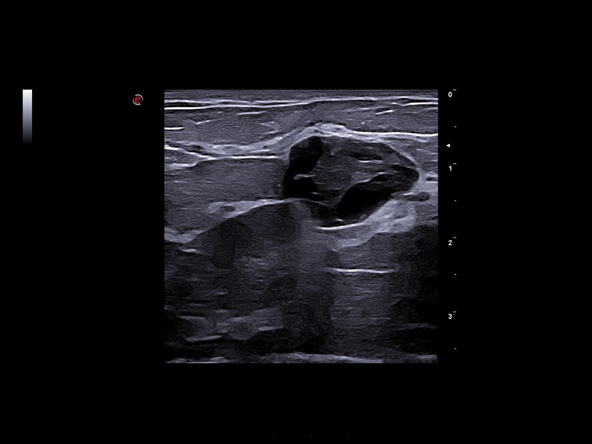
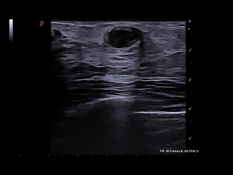
Clinical Images

Breast clinical image
Breast clinical image
Breast clinical image
Breast clinical image
Breast clinical image
Breast clinical image
Breast clinical image
Breast clinical image

Ultrasound systems for Breast

Esaote MyLab™X90

MyLab™X90

Premium system which embeds new technology of probes and an extended package of advanced tools powered by A.I.

Esaote MyLab™E80

MyLab™E80

Advanced ultrasound platform engineered to provide unparalleled expertise in examinations.

Esaote MyLab™A70

MyLab™A70

Advanced system designed to deliver advanced technologies with the simplest workflow.

Technology and features are device/configuration-dependent. Specifications subject to change without notice. Information might refer to products or modalities not yet approved in all countries. Product images are for illustrative purposes only. For further details, please contact your Esaote sales representative.

Stay updated on Esaote's world

Don't miss the opportunity to stay updated on upcomings events, educational resources, and all latest from Esaote.

Login required to access this resource.
Go to login page