Ultrasound clinical solutions for Urology
Prostate disease is one of the most common diseases in men worldwide. About one in seven men could develop prostate disease during his lifetime, and this number increases depending on a number of factors, mainly age and family history.
Although multi-parametric Magnetic Resonance Imaging (mpMRI) is becoming the method of choice for detecting and staging prostate cancer, biopsies remain the gold standard for the final characterization of suspicious lesions, and in most cases are performed under ultrasound guidance.
INTERVIEWS
Testimonials
VIDEO
Transperineal targeted biopsies with fusion imaging under local anesthesia
Prof. Gäelle Fiard
VIDEO
Targeted Biopsies with UroFusion demonstration
Prof. Marco Oderda
VIDEO
Today's role of targeted biopsies
Prof. Ana Maria Autran-Gomez
Daily prostate examinations: Trans-Perineal Ultrasound (TPUS) and Trans-Rectal Ultrasound (TRUS) approaches
In daily practice, high image quality and ease of use of advanced features (with fast and automatic measurements) make the difference.
Our new urology solutions enhance the user experience and increase confidence by offering the option of performing detailed prostate examinations with either TRUS or TPUS biopsy approaches, thanks to our end-fire or bi-plane transducers. Each probe is compatible with tailored biopsy guides, either reusable or single use.
Prostate in axial view using E 3-12 - End-fire probe, E 3-12
Prostate in sagittal view using TLC 3-13 - Bi-planar probe, TLC 3-13
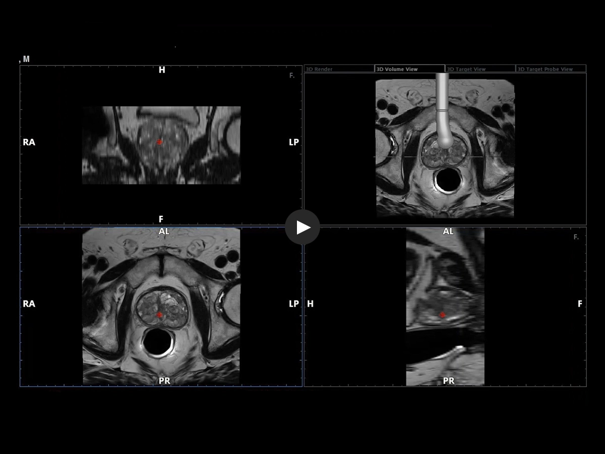
UroFusion – Prostate targeted biopsies made accurate by fusion imaging of MRI and Ultrasound
Targeted prostate biopsies and focal treatments
Expert users and beginners can now achieve a heightened degree of simplicity and precision by using UroFusion, Esaote’s cutting-edge fusion imaging solution that makes the most of the combination of US and MR or PET modalities.
By harnessing Augmented Insight™ (A.I.) technology, our dedicated solution enhances workflow efficiency by Automating MR Prostate Contouring & Segmentation with instant and automatic US-MR Synchronization, applied to both transperineal (TPUS) and transrectal (TRUS) prostate biopsy approaches.
Using UroFusion, clinicians will benefit from our intuitive tools to fasten the fusion procedures: the automatic prostate contouring and biopsy sample mapping are certainly the most impressive.
UroFusion seamlessly offers the ability to combine different mpMRI series, facilitating the identification of suspicious prostate lesions.
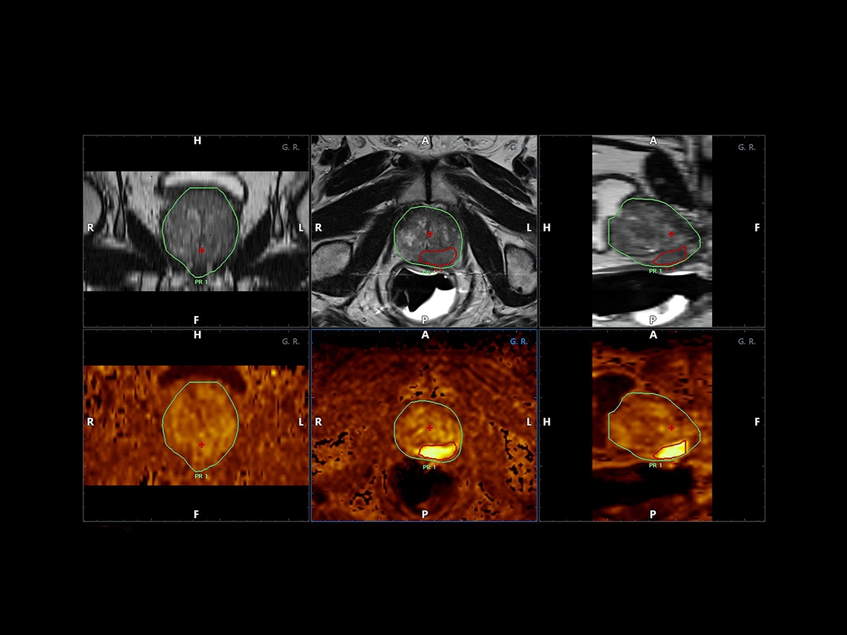
mpMRI targeting phase of PI-RADS 5 peripheral lesion
The targeted and systematic biopsy samples will be automatically saved in a 3D prostate rendering volume, a complete and clear report is automatically completed and attached to each procedure.
Transperineal & transrectal targeted biopsy (based on a 3D prostate reconstruction & sample mapping) - UroFusion report - Automatically generated
Lesion characterization
To support urologists in establishing a diagnosis, Esaote has developed advanced features that allow in-depth study of lesions and suspicious areas for accurate characterization.
These advanced features can be instantly integrated into the UroFusion environment, enabling comprehensive studies to be performed on the existing ultrasound system.
ElaXto and QElaXto 2D are Esaote’s strain and shear wave elastography technologies, which provide information on tissue elasticity by displaying a color-coded map representing prostate stiffness either relatively or quantitatively.
QElaXto 2D on sagittal view in suspected anterior region
microV shows vascularization and improves the visualization of slow blood flow in tiny vessels.
An adaptive algorithm identifies the blood flow signals and separates them from background tissue and motion artefacts. By eliminating background noise, microV technology enables an advanced hemodynamic evaluation with maximum sensitivity and spatial resolution.
microV to study the micro-vascularization of the suspicious area
CnTI™ is Esaote’s CEUS technology that helps to identify suspicious areas in the prostate, helping to target areas to be biopsied. Furthermore, it can be used for focal therapy follow-up.
The CnTI™ guarantees a very high sensitivity in detecting contrast media agents, while maintaining long persistence of the contrast bubbles.
CnTi™ (Prostate perfusion study - Suspected anterior lesion)
Male reproductive system & urinary system examination
Thanks to a wide probe portfolio, Esaote extends and completes the use of ultrasound, from precise prostate assessment to accurate testicular and penile imaging, as well as advanced kidney and bladder examinations.
Together with the proprietary IQProbes technology, which provides high-quality B mode imaging, additional advanced imaging modes can be used to further enhance the user’s diagnostic confidence, especially in complex cases:
- microV
- QElaXto
- QElaXto 2D
- CnTI™
Testis Varicocele under HF linear transducer examination - Micro-vascularization on kidney through microV
Focal treatments
The Esaote Urology package supports the CIVCO & GfM Steppers (*), which enables precise transperineal (TPUS) biopsy procedures and targeted treatment of focal lesions.
The steppers are also compatible with UroFusion, allowing for full targeted treatment by using:
- the biopsy fusion procedure prior to treatment, which combines the core position and histopathology of the target areas to be treated (recorded on the report with sample mapping and 3D reconstruction)
- and/or mpMRI guidance, which identifies the suspicious areas.
(*Check product registration and availability in your country)
MyLab is a trademark of Esaote spa. CnTI™: The use of Contrast Agents in the USA is limited by FDA to the left ventricle opacification and to characterization of focal liver lesions.
Clinical images
Ultrasound systems for Urology
MyLab™X90
Premium system which embeds new technology of probes and an extended package of advanced tools powered by A.I.
Premium system which embeds new technology of probes and an extended package of advanced tools powered by A.I.
MyLab™E80
Advanced ultrasound platform engineered to provide unparalleled expertise in examinations.
Advanced ultrasound platform engineered to provide unparalleled expertise in examinations.
MyLab™A70
Advanced system designed to deliver advanced technologies with the simplest workflow.
Advanced system designed to deliver advanced technologies with the simplest workflow.
MyLab™C30
Truly compact ultrasound device which combines cutting-edge aesthetics with an efficient user experience.
Truly compact ultrasound device which combines cutting-edge aesthetics with an efficient user experience.
Technology and features are system/configuration dependent. Specifications subject to change without notice. Information might refer to products or modalities not yet approved in all countries. Product images are for illustrative purposes only.
For further details, please contact your Esaote sales representative.